Diş çürüğü, dünya genelinde en yaygın görülen ağız ve diş sağlığı sorunlarından biridir ve her yaş grubunda ortaya çıkabilir. Çürük, diş yüzeyindeki mineral kaybı ile başlayan, ilerledikçe dentin ve pulpa gibi daha derin dokulara ulaşabilen bir süreçtir. Diş hekimliği literatüründe çürük oluşumu çok faktörlü bir mekanizma olarak ele alınır; yani çürüğün meydana gelmesi için birden fazla koşulun bir araya gelmesi gerekir.
Bu yazı, diş çürüğünün nasıl oluştuğunu, nedenlerini ve korunma yöntemlerini bilimsel temellere dayanarak anlatan, özgün ve tamamen bilgilendirici bir içeriktir. TDB ve Sağlık Bakanlığı düzenlemelerine uygun olarak herhangi bir yönlendirme veya teşvik içermeden hazırlanmıştır.
Diş Çürüğü Nedir?
Diş çürüğü (karyes), diş sert dokularının bakteri kaynaklı asit etkisiyle zaman içinde çözünmesi sonucu oluşan bir hastalıktır. Diş yüzeyindeki mine tabakası, hidroksiapatit kristallerinden oluşan sert bir yapıdır; ancak asitle temas ettiğinde mineral kaybederek zayıflayabilir. Çürük oluşumu, bu mineral kaybının devamlı hale gelmesiyle başlar.
Çürük, tedavi edilmediğinde ilerleyerek dentin tabakasına, oradan da pulpa dokusuna ulaşabilir. Bu nedenle çürük yalnızca estetik bir sorun değildir; aynı zamanda fonksiyon kayıplarına, hassasiyete, ağrıya ve enfeksiyona yol açabilir.
Çürük Nasıl Oluşur? Bilimsel Mekanizma
Diş çürüğü, dört temel faktörün aynı anda bulunması ile oluşur:
-
Bakteriler
-
Karbonhidrat içerikli besinler (özellikle şeker)
-
Diş yüzeyi
-
Zaman
Bu dört unsur bir araya geldiğinde çürük oluşumu için gerekli biyokimyasal süreç başlar.
1. Bakteriler ve Plak Oluşumu
Ağız içinde doğal olarak milyonlarca bakteri bulunur. Bu bakterilerin bir kısmı diş yüzeyine yapışarak plak adı verilen yumuşak bir tabaka oluşturur. Streptococcus mutans ve Lactobacillus türleri çürük oluşumunda rol oynayan başlıca bakterilerdir.
Bu bakteriler şekerli ve nişastalı gıdaları metabolize ederken asit üretirler. Asit üretimi arttığında mine yüzeyinde çözünme başlar ve çürüğün ilk aşaması meydana gelir.
2. Asit Saldırısı ve Mine Çözünmesi
Plaktaki bakteriler şekerle beslendikçe pH düşer. pH’nin belirli bir seviyenin (yaklaşık 5.5) altına inmesi “demineralizasyon” adı verilen süreci başlatır. Bu süreçte diş minesinden mineral kaybı olur.
Eğer bu durum sık tekrar ederse:
-
Mine zayıflar
-
Beyaz leke (white spot) oluşur
-
Derinleşen mineraller arası boşluklar çürüğe dönüşebilir
Bu aşama düzenli bakım ile geri döndürülebilir; ancak ilerlerse kalıcı çürük oluşur.
3. Dentin Tabakasının Etkilenmesi
Mine tabakası aşındığında asitler dentin tabakasına ulaşır. Dentin, mineye göre daha yumuşak bir yapıdır ve bakterilerin ilerlemesi daha kolaydır. Dentin çürüğü genellikle daha hızlı ilerler.
Bu aşamada kişi:
-
Soğuk, sıcak ya da tatlı gıdalara karşı hassasiyet
-
Hafif zonklayıcı ağrı
yaşayabilir.
4. Pulpa Dokusunun Etkilenmesi
Çürük ilerleyip dişin sinir dokusuna (pulpa) ulaştığında iç dokularda iltihaplanma meydana gelebilir. Bu aşamada çürük kendini şiddetli ağrı ile gösterebilir.
Pulpa dokusuna ulaşan çürük, ağız sağlığı üzerinde daha ciddi etkiler bırakarak günlük yaşamı önemli ölçüde etkileyebilir.
Diş Çürüğünün Nedenleri
Çürüğün oluşumu pek çok faktörün birlikte etkisi ile gerçekleşir. Bu faktörlerin bilinmesi, çürüğün önlenmesi açısından önemlidir.
1. Yetersiz Ağız Hijyeni
Düzenli fırçalama yapılmadığında plak birikimi artar. Plak birikimi ne kadar uzun süre diş yüzeyinde kalırsa bakteriyel asit üretimi o kadar artar.
2. Şekerli ve Yapışkan Gıdalar
Şekerli gıdalar bakterilerin hızlı şekilde çoğalmasına zemin hazırlar. Özellikle:
-
Şekerlemeler
-
Kurabiye ve kek gibi rafine karbonhidratlar
-
Gazlı içecekler
-
Yapışkan atıştırmalıklar
diş yüzeyine tutunarak çürük riskini artırabilir.
3. Asitli İçecekler ve Gıdalar
Asitli içecekler, diş yüzeyi pH’ini düşürerek dolaylı olarak çürük gelişimine katkıda bulunabilir.
4. Ağız Kuruluğu (Kserostomi)
Tükürük, diş yüzeyinin doğal savunma mekanizmasıdır. Tükürük akışı azaldığında:
-
Asitler nötralize olamaz
-
Plak birikimi artar
-
Mineral kaybı hızlanır
Ağız kuruluğu; ilaç kullanımı, stres, yetersiz sıvı tüketimi veya bazı sistemik hastalıklar nedeniyle ortaya çıkabilir.
5. Yetersiz Florür Teması
Florür, diş yüzeyinin mineral yapısını güçlendirmeye destek olabilir. Yetersiz florür teması çürüğe yatkınlığı artırabilir.
6. Sık Atıştırma Alışkanlığı
Ara öğünlerin çok sık olması ağızda uzun süre düşük pH seviyelerine neden olur. Bu durum diş yüzeyinin sürekli asit saldırısı altında kalmasına yol açabilir.
7. Genetik ve Diş Yapısına Bağlı Faktörler
Bazı bireylerde mine yapısı doğal olarak daha incedir veya çiğneme yüzeylerindeki çukurlar daha derindir. Bu tür anatomik özellikler çürük riskini artırabilir.
8. Çocukluk Çağında Süreçlerin Farklı İşlemesi
Süt dişleri daha ince mineye sahiptir. Bu nedenle çocuklarda çürük daha hızlı ilerleyebilir. Düzenli bakım alışkanlıklarının küçük yaşta kazandırılması bu nedenle önemlidir.
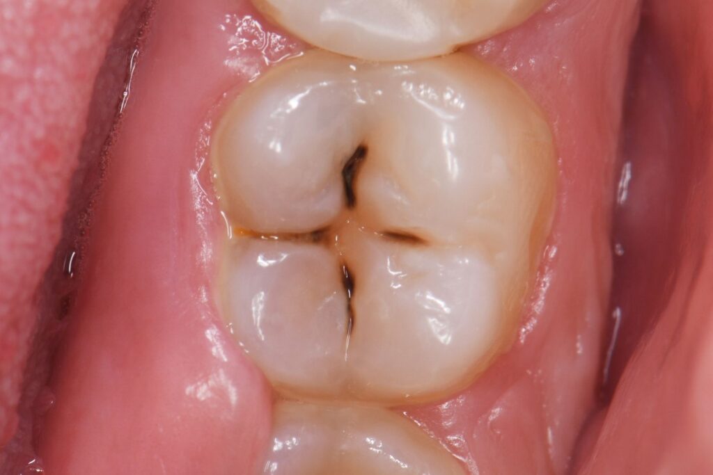
Çürük Belirtileri Nelerdir?
Diş çürüğü erken dönemde belirti vermeyebilir. Ancak süreç ilerledikçe şu belirtiler görülebilir:
-
Beyaz veya kahverengimsi lekeler
-
Hassasiyet
-
Çiğneme sırasında rahatsızlık
-
Soğuk-sıcak ağrısı
-
Görünür çukur ya da kavite
Belirtilerin ortaya çıkması çürüğün ilerlediğinin göstergesidir.
Diş Çürüğünden Korunma Yöntemleri
Ağız ve diş sağlığı literatürü çürüğün önlenmesinde düzenli bakımın ve sağlıklı yaşam alışkanlıklarının kritik rol oynadığını vurgular.
1. Düzenli Diş Fırçalama
Günde iki kez diş fırçalamak plağın uzaklaştırılmasına yardımcı olur. Önemli noktalar:
-
En az 2 dakika fırçalama
-
Diş eti hattının temizlenmesi
-
Yumuşak kıllı bir fırça kullanılması
Fırçalama alışkanlığı çürük oluşumunu azaltmada temel uygulamalardan biridir.
2. Diş İpi ve Arayüz Temizliği
Dişlerin arayüz yüzeyleri fırçalanırken tam temizlenemez. Bu bölgelerde biriken plak çürüğün başlamasına neden olabilir. Diş ipi veya arayüz fırçaları günlük rutine dahil edilebilir.
3. Dil Temizliği
Dil yüzeyindeki bakteri tabakası ağız kokusuna ve çürüğe katkı sağlayabilir. Dilin düzenli temizlenmesi ağız hijyenini destekler.
4. Doğru Beslenme Alışkanlıkları
Beslenme çürük oluşumunda güçlü bir etkendir:
-
Şekerli gıdaların sık tüketiminden kaçınmak
-
Asitli içecek tüketimini sınırlandırmak
-
Lifli gıdalarla beslenmek
-
Sık atıştırmalıklardan kaçınmak
beslenme düzenine dahil edilebilir.
5. Su Tüketimini Artırmak
Düzenli su tüketimi tükürük akışını destekler. Su, ağız içindeki asitleri seyreltebilir ve plak birikimini azaltabilir.
6. Ağız Kuruluğunu Yönetmek
Ağız kuruluğu yaşayan bireylerin:
-
Bol su içmesi
-
Aşırı kafein tüketiminden kaçınması
-
Şeker içermeyen sakız çiğnemesi
gibi yöntemlerle tükürük akışını artırmaya çalışması faydalı olabilir.
7. Florürlü Ürünlerden Faydalanmak
Florür, diş minerallerinin dayanıklılığını destekleyebilir. Florürlü ürünler, ürün kullanım talimatlarına uygun şekilde kullanılmalıdır.
8. Çocuklarda Koruyucu Alışkanlıklar Kazandırmak
-
Düzenli fırçalama alışkanlığı
-
Diş ipi kullanımı
-
Dengeli beslenme
-
Şeker tüketiminin sınırlandırılması
çocukluk çağında çürük riskini azaltabilir.
9. Protez veya Ortodontik Aygıtların Düzenli Temizliği
Sabit veya hareketli ortodontik aygıtlar, protezler ve plaklar üzerinde bakteri birikimi olabilir. Bu tür cihazlar her gün temizlenmelidir.
10. Düzenli Ağız Kontrolleri
Düzenli ağız ve diş muayeneleri, çürüğün erken dönemde tespit edilmesine yardımcı olabilir. Erken tespit, mineralleşme kaybının ilerlemeden kontrol edilmesini sağlar.
Çürük Oluşumuna Karşı Günlük Bir Bakım Rutini Önerisi
Bilimsel temel doğrultusunda günlük bakım rutini şu şekilde olabilir:
-
Sabah:
-
Diş fırçalama
-
Arayüz temizliği
-
Dil temizliği
-
-
Gün içinde:
-
Düzenli su tüketimi
-
Şekerli atıştırmalıklardan kaçınma
-
-
Akşam:
-
Yatmadan önce fırçalama (önemli bir adım)
-
Diş ipi kullanımı
-
Nazik dil temizliği
-
Bu adımlar çürük gelişimi riskini azaltabilir.
Çürük Yönetilebilir Bir Süreçtir
Diş çürüğü, zaman içinde gelişen ve ağız sağlığını olumsuz etkileyebilen bir durumdur. Ancak çürük oluşumu büyük ölçüde önlenebilir bir süreçtir. Düzenli fırçalama, arayüz temizliği, doğru beslenme alışkanlıkları, tükürük akışını artırmaya yönelik uygulamalar ve düzenli kontroller çürük riskini önemli ölçüde azaltabilir.
Ağız sağlığına yönelik bilinçli adımlar, hem kısa vadede hem de uzun vadede yaşam kalitesini olumlu yönde etkiler.



